Du nouveau dans le traitement des Classe III
Publié par Dr Michel Champagne le
Par Dr Michel Champagne
Résumé de la récente littérature
Un grand dilemme demeure toujours dans le traitement des classe III i.e. quand traiter et quel type d’appareillage employer. Le traitement hâtif (7-12 ans) des malocclusions de classe III semble augmenter en popularité autant chez les spécialistes que les généralistes.
Une étude de Woon et al. (AJODO 2017;151 :28-52) démontre avec une évidence moyenne que l’usage chez le patient jeune, 7-12 ans, du masque facial (MF) fixé sur un appareil collé (avec ou sans expansion palatine) donne des résultats bénéfiques à court terme (amélioration du surplomb horizontal de 2.5 mm ou du ANB de 3.9 degrés) mais il manque encore d’évidence à long terme en ce qui a trait à la stabilité des résultats. La preuve demeure faible pour les autres types d’appareillage comme la mentonnière, l’appareil de type tandem, etc. Ceci est encourageant pour tous ceux d’entre nous qui utilisent la technique du MF.
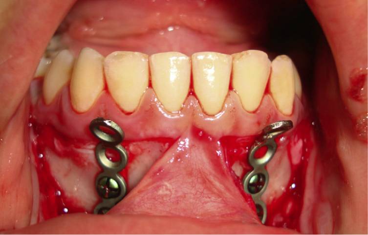
Depuis quelques années, d’autres techniques d’ancrage pour traction du maxillaire ont vu le jour et certains orthodontistes québécois commencent à l’offrir à leurs patients et parents. Vous le verrez peut-être dans votre région. De Clerck et al. (J Oral Maxillofac Surg 2009;67 ;2123-9 et AJODO 2010;138 :577-81) ont démontré l’usage de mini-plaques pour traction du maxillaire. Les mini-plaques étaient placées dans la zone postérieure du maxillaire et antérieure de la mandibule (Figures 1 et 2). Cette approche permet de tracter le maxillaire de patients dont les probabilités de réussite par MF sont réduites i.e. des patients en fin de dentition mixte et début de dentition permanente. Plus récemment, Elnagar et al. (AJODO 2016;150 :751-62 et AJODO 2017;151 :1092-106) ont comparé l’effet de la traction du maxillaire à partir de mini-plaques soit à partir d’un MF (Figure 3) ou d’élastiques de classe III ancrés sur des mini-plaques à la mandibule (Figure 4). Ils ont démontré une différence de mode d’action entre les deux options de traction. La traction partant de mini-plaques au maxillaire vers un MF (Figure 2) a montré une plus grande rotation horaire de la mandibule et une lingualisation des incisives inférieures que la technique sans MF dans laquelle les élastiques de classe III sont portés de mini-plaques maxillaire à des mini-plaques mandibule. Il est intéressant de noter une diminution de l’angle du plan mandibulaire dans le groupe mini-plaques et élastiques sans usage du MF. Cette technique nécessite malheureusement des interventions chirurgicales sous anesthésie générale , la plupart du temps deux, une pour l’installation des mini-plaques au maxillaire et une autre pour la mandibule. Il en faudra une troisième pour la dépose des mini-plaques. Les adeptes de cette technique se justifient par une meilleure collaboration aux élastiques de classe III qu’au port du MF. Ils rappportent un avancement maxillaire de 2.8 à 5.2 mm selon les études. Les mini-plaques permettent de limiter l’ouverture de l’angle du plan mandibulaire et de traiter dans un groupe d’âge un peu plus avancé i.e. plus de 12 ans, malgré que l’âge moyen des patients de leurs etudes était de 12.24 plus ou moins 1 an. Les traitements par mini-plaques montrent moins de glissement dentaire des dents sur l’arcade et plus de mésialisation de tout le maxillaire. Les études ne démontrent pas de changement transverse au maxillaire donc on n’exclue pas la possibilité d’expansion palatine avant ou durant le traitement par mini-plaques. Il n’existe à ce jour, à ma connaissance, aucune évidence à long terme sur la stabilité de la correction (Figures 5 et 6).
Que peut-on en conclure :
- Sur l’approche traditionnelle par MF en dentition mixte, il est certain que plus le patient est jeune, plus il en bénéficiera. L’âge de 12 ans semble l’âge limite dans plusieurs études pour une approche par appareil collé et MF bien que l’âge chronologique ne correspond pas toujours à l’âge osseux. Il existe donc une grande variable individuelle dont il faut tenir compte.
- Une approche hâtive par MF et expansion palatine peut être efficace si le patient démontre une déficience du maxillaire.
- L’approche par MF et appareillage collé a tendance à donner des changements dento-alvéolaires par glissement mésial de la dentition sur la base osseuse.
- L’approche par MF et appareillage collé a tendance à ouvrir l’angle du plan mandibulaire par rotation horaire de la mandibule et augmente ainsi la longueur faciale antérieure, ce qui aide à la correction de la classe III.
- L’approche par mini-plaques et MF ouvre davantage l’angle du plan mandibulaire et provoque la bascule linguale des incisives inférieures.
- L’approche par mini-plaques maxillaire et mandibule associée à des élastiques de classe III a tendance à fermer l’angle du plan mandibulaire.
Mon opinion sur le sujet :
- Il ne faut pas oublier d’évaluer tous les cas de Classe III en relation centrique (RC), de vérifier l’angle des incisives supérieures pour s’assurer que le patient présente vraiment une Classe III et non une pseudo classe III car la pseudo classe III peut être corrigée sans traction maxillaire. Il n’est pas noté dans les études de traction par mini-plaques si les radiographies céphalométriques ont été prises en RC.
- Si le patient est jeune (7-12 ans), que l’angle du plan mandibulaire est de normal à fermé avec un bon scellement labial et que le maxillaire est rétrusif, l’option de masque facial sur appareillage collé peut être envisagée avec une grande probabilité de succès.
- Si le patient a plus de 12 ans avec un maxillaire rétrusif et un angle du plan mandibulaire ouvert, l’option par mini-plaques peut être intéressante.
- Aucune des approches n’est garante de stabilité à long terme et les parents doivent être avertis de la possibilité de chirurgie orthognatique en fin de croissance.
- L’approche par mini-plaques est lourde car elle implique des chirurgies multiples sous anesthésie générale. Ces chirurgies, en plus d’être envahissantes pour un jeune patient, seront coûteuses pour les parents.
- Je me pose toujours la question suivante ‘’que serait l’approche choisie si c’était mon enfant’’ et nos réponses individuelles peuvent varier.
La décision finale revient donc aux parents mais il est de notre obligation de présenter le détail des options possibles (consentement éclairé) même si cela implique de référer le patient à un spécialiste. La vraie classe III ne se traite pas facilement, pas plus pour le spécialiste que pour le généraliste qui en a les compétences. Référez le patient est toujours une possibilité.
Toutes les photos sont reproduites du AJODO 2016; 150 :751-62

Figure 1. Mini-plaques au maxillaire

Figure 2. Mini-plaques à la mandibule

Figure 3. Traction de mini-plaques au maxillaire vers un masque facial

Figure 4. Traction par mini-plaques et classe III élastiques

Figure 5. Changements céphalométriques par traction de mini-plaques à masque facial

Figure 6. Changements céphalométriques traction de mini-plaques et élastiques de classe III